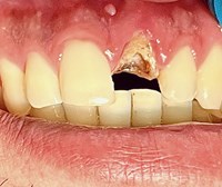
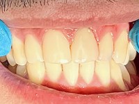
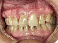
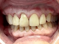
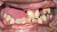
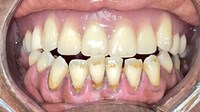
Veneers are thin wafers of porcelain that are placed over the front of your teeth to improve their aesthetic appearance. They can be matched to your surrounding teeth perfectly and are designed to look and feel completely natural. They are ideal for people who have uneven teeth and minor gaps between their teeth. They are also often used to cover stains or discoloration on a patient’s teeth. They can also correct several dental flaws like misaligned teeth, misshapen teeth, worn-down teeth, chipped or broken teeth, and mispositioned teeth.
Veneers Before & After
Visit Our Office
Office Hours
- Monday8:00 am - 5:00 pm
- Tuesday8:00 am - 3:00 pm
- Wednesday8:00 am - 5:00 pm
- Thursday8:00 am - 3:00 pm
- FridayClosed
- SaturdayClosed
- SundayClosed



























