A dental crown in McKinney TX is a restoration that is placed on a tooth to cover it and restore it to its normal shape and size. Dental crowns can be used to treat and prevent a wide variety of dental health issues. If your tooth is suffering from decay, cracks, or breaks, a crown can protect it from further damage and strengthen it overall. If you have lost a tooth to injury, decay, or other problem, you can get a custom crown to replace it and restore your smile’s appearance. You can also have a crown made for cosmetic purposes to cover severely discolored teeth or correct other aesthetic flaws in your teeth.
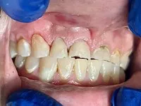
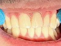
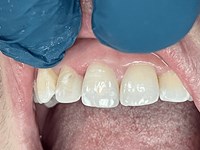
Veneers are thin wafers of porcelain that are placed over the front of your teeth to improve their aesthetic appearance. They can be matched to your surrounding teeth perfectly and are designed to look and feel completely natural. They are ideal for people who have uneven teeth and minor gaps between their teeth. They are also often used to cover stains or discoloration on a patient’s teeth. They can also correct several dental flaws like misaligned teeth, misshapen teeth, worn-down teeth, chipped or broken teeth, and mispositioned teeth.
A filling is a procedure in which a dentist removes tooth decay and replaces it with a restorative material. This restores the function and health of your tooth, helping it avoid further decay or damage. Cosmetic fillings are made to match the natural shade of your teeth and are considered a tooth-colored alternative to amalgam fillings. They are used to treat minor tooth decay and small cavities. In some cases, they can also be used to repair chips in teeth caused by accidents or wear. Cosmetic fillings are less noticeable than amalgam fillings and improve the appearance of your smile.
A filling is a type of restoration that is used to fix a tooth that has been damaged by decay, cracks, or other forms of damage. This treatment involves removing the damaged part of the tooth and then filling up the space left by the removal with a substance such as an amalgam or composite resin. This procedure can prevent further tooth decay and damage as well as restore the appearance and function of the affected tooth. Dental fillings can also be used to repair teeth that have had minor damage due to an accident. There are many types of fillings available, but the most common are amalgam and composite resin. Amalgam is made from metal alloy and contains trace amounts of mercury. Composite resin is an acrylic-based material that’s matched your tooth color for natural-looking results.
A denture is a removable oral appliance that replaces all or some of the teeth in an arch. Unlike a fixed bridge, which permanently affixes to two surrounding teeth, dentures are removable and must be taken out daily for cleaning and maintenance. There are two main types of dentures: full and partial dentures. Full dentures are used to replace all of the natural teeth in one arch. Partial dentures are typically used when there are still some healthy teeth and gums remaining in the arch. They fit onto the surface of the gums and are secured into place using clasps located on the teeth surrounding the mouth. If you’ve lost too many teeth and find yourself at a loss for what to do about it, a full or partial denture may be an ideal option. They’re extremely durable and long-lasting, as well as affordable in comparison to an implant procedure.
Dental emergencies can be painful and uncomfortable. If you have a severe toothache, a loose tooth, a dislodged tooth, a broken tooth, severe jaw pain, fractured teeth, lacerations, or other mouth injuries, you should schedule an appointment with your dentist as soon as possible. While waiting to see your regular dentist is not an option for these types of issues, you can still receive treatment from an emergency dentist in the meantime. An emergency dentist is a dentist who offers same-day appointments for sudden, serious, or painful tooth and mouth issues. Even if you think your injuries are minor, you will want to have a medical professional evaluate your mouth to check for signs of serious oral damage. Emergency dentists can often correct these emergencies with surgery or other treatments.




























