PATIENT
Age : over 60
GenderFemale
PROCEDURE DETAILS
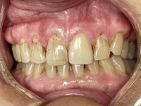
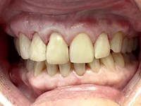
Patient came in to have a cavity on one of her front-facing teeth restored. The cavity was fixed, along with removing and repairing the staining on the surrounding teeth. Patient not only left with a healthier smile, but a more confident smile too!
Stained Teeth Restored

Before

After















