Decaying Front Teeth Makeover*
PATIENT
Age : 50 - 59
GenderMale
PROCEDURE DETAILS
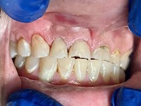
Man in his mid-fifties with long term cavities was experiencing oral discomfort while doing daily tasks such as eating and drinking. Though the cavities decayed his teeth overtime, Dr. Davidson removed the decay and filled the cavities with composite to match the patient's natural tooth shade. Now, the patient's teeth are visibly restored to a healthier look as well as physically restored to protect against further decay.
Restoration of Decayed Teeth

















