PROCEDURE DETAILS
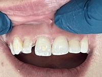
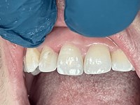
Patient tooth cracked due to a large cavity that had not been treated in time. Fortunately, the tooth was restorable, so the cavity was cleaned out and filled to repair the tooth. Composite bonding is a huge part of not only repairing teeth, but restoring smiles. The shade was matched so that the restoration looked completely natural.
Don't be afraid of cracked or chipped teeth, we have all the tools needed to repair your smile and get it back to its natural glow 🙂
Cracked Lateral Tooth Repair


















